Why choose veneers?
Have you ever dreamed of a complete smile transformation? Veneers can make that dream a reality. These ultra-thin, durable porcelain shells are custom-designed to cover the front of your teeth, masking a variety of cosmetic imperfections including stubborn stains, misalignment, gaps, or damaged teeth. Their versatility makes them a popular choice for patients seeking a long-lasting, comfortable, and natural-looking smile upgrade.
Comfortable Digital Scanning
By using digital scanning technology to create your custom veneers, you’ll never have to endure another goopy, uncomfortable impression tray again.

The Benefits of Veneers
Natural Look
Our veneers are meticulously crafted to mimic the slight translucency of natural teeth, ensuring a seamless blend with your smile.
Effortless Care
With individually applied veneers, maintaining your oral hygiene routine is as simple as ever – just brush and floss as usual.
Built to Last
Don't let their slim profile fool you – porcelain veneers are as tough and durable as your natural tooth enamel.

Free Consultations!
Exam
Digital Scans
Treatment Plan
Commitment-Free Consult
Curious about how veneers can elevate your smile? Wonder about the cost or if you're an ideal candidate? Take advantage of our free veneer consultations. Your dentist will address all your questions and outline a custom treatment plan, empowering you to make an informed decision about your smile transformation.
The Veneers Treatment Process
Prepare for Perfection
After your initial cosmetic consultation and treatment approval, your dentist will gently prep your teeth by removing a thin layer of enamel, creating the ideal foundation for your veneers.
Preview Your New Smile
Following preparation, we'll take detailed impressions or digital scans of your teeth to craft your permanent veneers. In the meantime, you'll wear custom temporary veneers, protecting your teeth and giving you a sneak peek of your future smile.
Reveal Your Radiance
Once your bespoke veneers arrive, your dentist will ensure a perfect fit and appearance. After any necessary adjustments, your veneers will be permanently bonded to your teeth, unveiling your dazzling new smile.
What makes us different
Digital Smile Design
With Digital Smile Design technology, you can see what your smile will look like before treatment begins! Our software allows us to manipulate images of your teeth and simulate a new smile based on different treatment plans. You can see the end results before you commit to treatment.

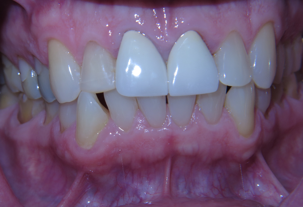
Before & Afters
A smile is worth 1,000 words.
See real patient success stories.


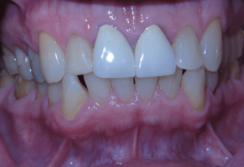
COSMETIC CROWNS/VENEERS
FAQs
Frequently Asked Questions
Check out these frequently asked questions, or call us to speak with our team.
While veneers are designed as a long-term solution, removal is possible but not recommended. The process of applying veneers involves permanently altering your natural teeth by removing a thin layer of enamel. If veneers are removed, your teeth would require protection, often in the form of new veneers or crowns. It's crucial to view veneers as a commitment to your smile's future. With proper care and maintenance, your veneers can last for many years, potentially decades. If issues arise, it's typically better to replace or repair individual veneers rather than attempt removal. Always consult with your dentist about any concerns regarding your veneers.
With proper care, veneers typically last between 15 to 20 years. Their longevity largely depends on your oral hygiene habits and lifestyle. Over time, you may notice some wear, and individual veneers might require repair or replacement.
To maximize the lifespan of your veneers, maintain excellent oral hygiene, attend regular dental check-ups, and avoid habits that could potentially damage them.
Most veneers are crafted from high-quality ceramic porcelain. This material is chosen for its remarkable resemblance to natural tooth enamel in both appearance and texture. The porcelain is carefully color-matched to your existing teeth and possesses similar hardness and translucency to enamel, making it the ideal material for enhancing your smile.
The cost of veneers can vary based on several factors, including the number of teeth being treated, your overall oral health, and the specific size and shape of each tooth. For an accurate estimate, we recommend scheduling a cosmetic consultation. During this visit, your dentist will thoroughly examine your mouth, assess your oral health, and provide a detailed quote for your personalized veneer treatment.

