Before & Afters

Real patients, real results—see what’s possible
At In Line Dentistry, we’re proud to help our patients smile with confidence again. Whether it's restoring function, relieving pain, or creating the smile they've always wanted, each transformation tells a personal story. Browse our gallery to see the life-changing impact of compassionate, high-quality dental care.


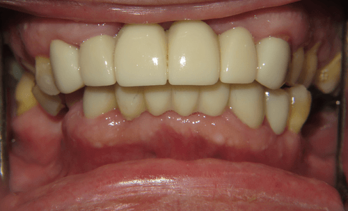
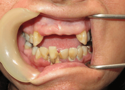
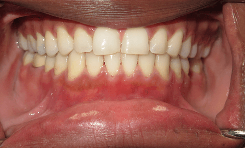
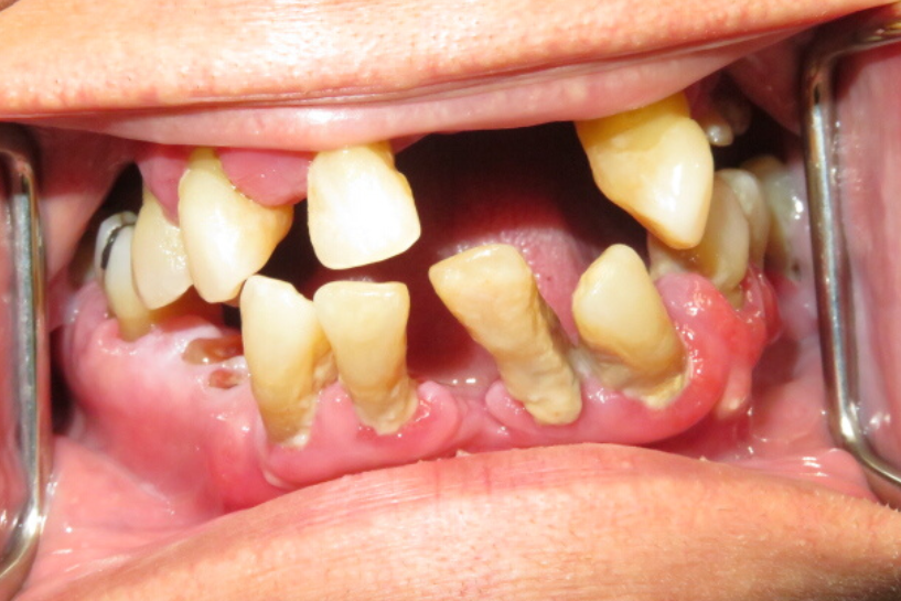
COSMETIC CROWNS/VENEERS
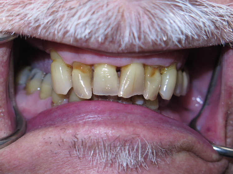
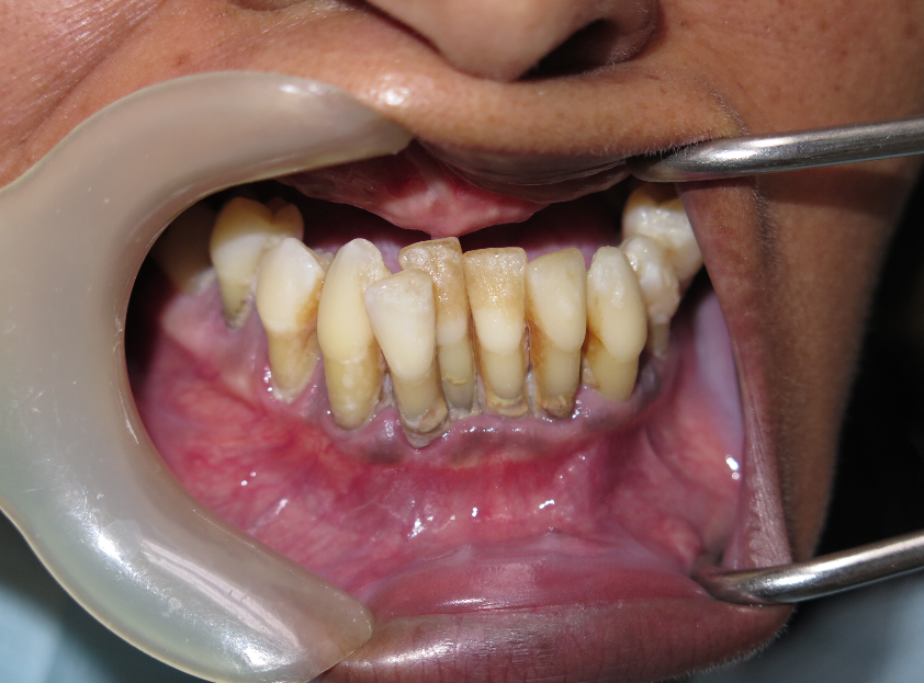
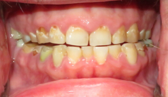
before

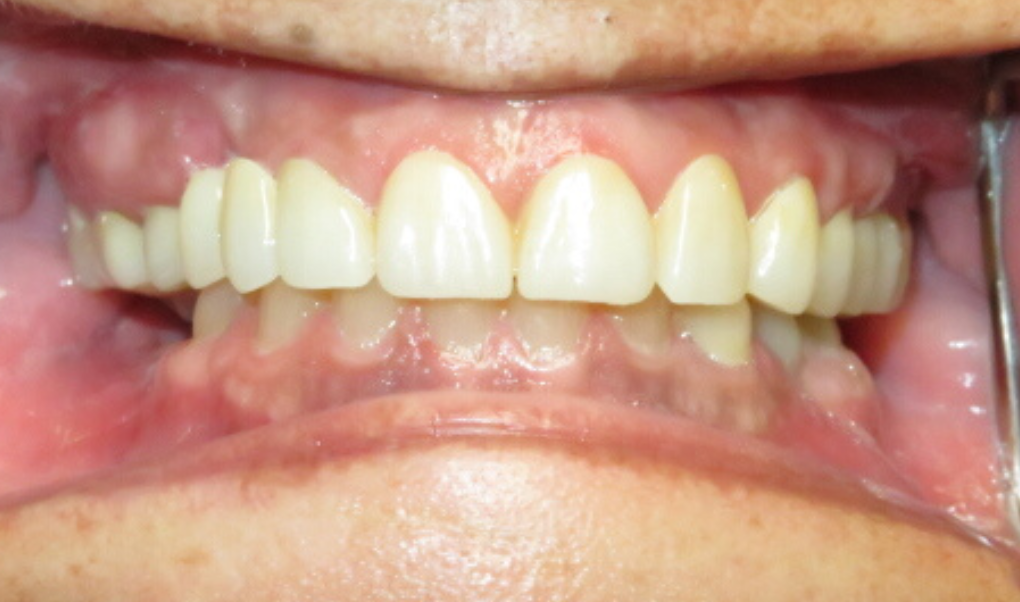
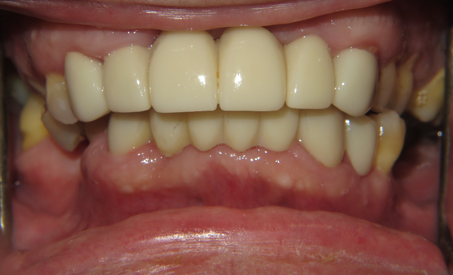
after

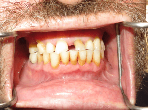
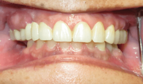
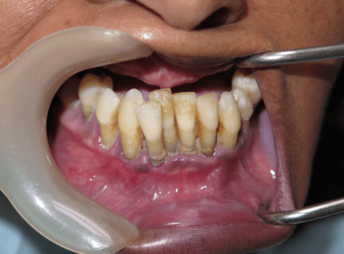
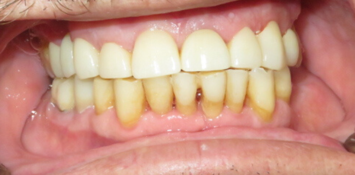
COSMETIC CROWNS/VENEERS
before

after

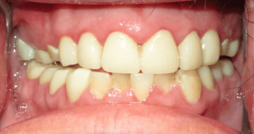
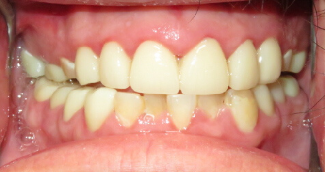
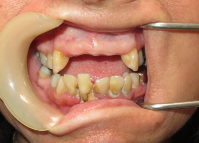
COSMETIC BRIDGE
before

after

VENEERS
before

after

COSMETIC CROWNS
before

after
COSMETIC BRIDGE
before

after

DENTURE
before

after

COSMETIC CROWNS
before

after

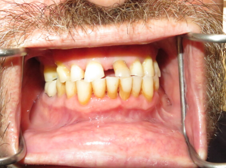
COSMETIC CROWNS AND BRIDGES FOR PT WITH WEAR
before

after

CLEAR ALIGNERS
before

after

IMPLANT OVERDENTURE
before

after

COSMETIC CROWNS
